611Views 0Comments
Este artículo está basado en el capítulo “Lentes de contacto”, escrito por Sujatha Mohan, R. Swathi Nishitha y Madhuvanthi Mohan, del libro Atlas de la córnea. En él se describen los diferentes tipos de lentes de contacto disponibles y las principales complicaciones asociadas a su uso.
Lente miniescleral
Lentes rígidos de 14–18 mm diseñados para cubrir toda la córnea. Están indicados para pacientes con queratocono avanzado, córneas irregulares o en posqueratoplastia. Son lentes de fácil adaptación en diferentes tamaños y permiten mejorar de manera significativa la agudeza visual corregida en pacientes con córneas aberradas.
Lente piggyback
Es un lente rígido permeable al gas que se coloca sobre un lente de contacto blando. Este último actúa como un escudo que mejora la comodidad y la calidad visual. Se recomienda el uso de lentes desechables diarios para evitar una rutina de limpieza doble.

Lentes de contacto cosméticos
Se utilizan para mejorar o modificar la apariencia del ojo normal y también en pacientes con opacidades corneales desfigurantes; El lente de contacto blando debe cubrir completamente el iris. La limpieza debe realizarse según las instrucciones del fabricante, ya que una higiene inadecuada puede provocar infecciones.
Desajuste
Puede considerarse un desajuste cuando el lente no presenta movimiento al parpadear, cuando deja una impresión marcada en la conjuntiva o cuando se observa una burbuja de aire debajo del lente. Estas situaciones pueden causar daño ocular. Ante estos signos, es importante utilizar lubricantes y, posteriormente, ajustar la adaptación con un lente más plano y suelto.
Ruptura del lente de contacto
Cuando un lente de contacto se daña ya sea por una ruptura o un desgarro puede causar lesiones en la córnea. En estos casos, es necesario suspender su uso, reemplazar el lente y aplicar el tratamiento indicado.
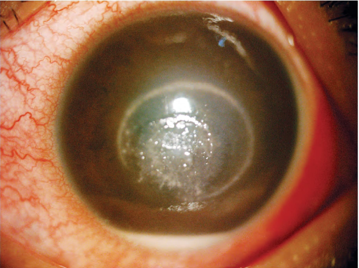
Depósitos de lentes de contacto
Los depósitos en los lentes de contacto pueden comprometer la salud ocular del paciente, generando desde conjuntivitis papilar hasta queratitis microbiana. Los depósitos superficiales pueden reducirse o evitarse mediante el reemplazo oportuno del lente.

Conjuntivitis papilar gigante inducida por lentes de contacto
Se debe a la alergia al propio lente de contacto, a los depósitos de proteínas o a las soluciones de limpieza. El tratamiento consiste en reemplazar el lente con mayor frecuencia, reducir el tiempo de uso y combinar antihistamínicos con gotas estabilizadoras de mastocitos y lubricantes. En casos más avanzados, pueden emplearse esteroides tópicos.
Deficiencia de células madre limbares inducida por lentes de contacto
La deficiencia de estas células se caracteriza por conjuntivalización, neovascularización y cicatrización de la córnea superior. El tratamiento consiste en suspender el uso de lentes de contacto y emplear lubricantes tópicos. En casos que lo requieran, el manejo quirúrgico incluye un trasplante de membrana amniótica.


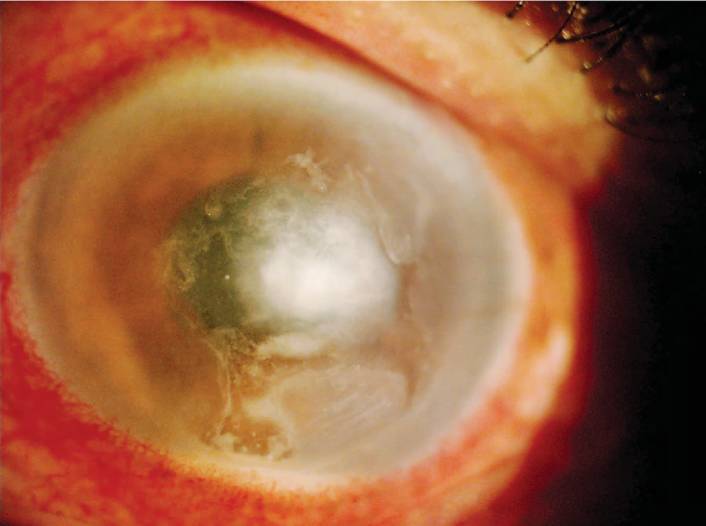
Queratitis inducida por lentes de contacto
El uso de lentes de contacto es un factor de riesgo para desarrollar queratitis microbiana, y este riesgo varía según el tipo de lente, la frecuencia de uso y los hábitos de higiene del paciente. El tratamiento requiere una cobertura antibiótica inmediata y frecuente. Su manejo dependerá de la gravedad de la úlcera corneal y del riesgo potencial para la visión.


Consulta más artículos de Oftalmología dando clic aquí.
