4Views 0Comments
Este artículo se basa en el capítulo 4, Periodontitis inducida por la biopelícula dental, del libro Atlas a color de enfermedades periodontales locales y sistémicas, de George Laskaris, Dimitris Tatakis y Eleana Stoufi, publicado por la Editorial Amolca. En este capítulo se aborda la periodontitis como una enfermedad inflamatoria de origen multifactorial, destacando el papel de la biopelícula dental, la respuesta del huésped y los factores de riesgo en su desarrollo, así como sus características clínicas, clasificación y enfoques terapéuticos para su control.
La periodontitis inducida por la biopelícula dental es una de las enfermedades más comunes en la práctica odontológica y, al mismo tiempo, una de las más subestimadas por los pacientes. Su carácter progresivo y, en muchos casos, indoloro, hace que avance silenciosamente hasta generar daños irreversibles en los tejidos que soportan los dientes.

¿Por qué se produce?
El principal origen de esta enfermedad es la acumulación de biopelícula dental en un entorno donde existe desequilibrio microbiano (disbiosis), especialmente en personas susceptibles. A esto se suman factores de riesgo claramente identificados, como el tabaquismo y la diabetes, que favorecen su aparición y aceleran su progresión.
Manifestaciones clínicas: señales de alerta
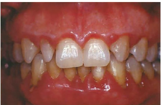
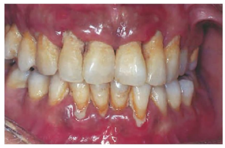
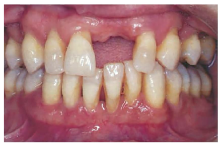
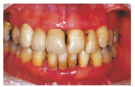
Aunque puede pasar desapercibida en sus etapas iniciales, la periodontitis presenta signos clínicos característicos que permiten su identificación:
- Enrojecimiento, inflamación y sangrado de las encías, especialmente al cepillado.
- Formación de bolsas periodontales (surcos gingivales profundos).
- Presencia de exudado, acumulación de residuos y, en algunos casos, supuración (piorrea).
- Halitosis persistente y alteración del gusto.
- Recesión gingival, que deja expuestas las raíces dentales.
- Pérdida progresiva del hueso alveolar y del ligamento periodontal.
- Aumento de la movilidad dental, que puede derivar en la pérdida de dientes.
- Un aspecto relevante es que la enfermedad suele ser indolora, lo que retrasa la consulta y el diagnóstico oportuno.

Clasificación: entendiendo la progresión de la enfermedad
La periodontitis se clasifica en estadios y grados que permiten evaluar su severidad y velocidad de progresión:
Estadios (I a IV):
- Estadio I: fase inicial con pérdida leve de inserción.
- Estadio II: enfermedad establecida con afectación del tercio coronal de la raíz.
- Estadio III: daño severo que alcanza al menos la mitad de la raíz, con posible pérdida dental.
- Estadio IV: etapa avanzada con pérdida extensa de dientes y compromiso funcional significativo.
Además, puede presentarse de forma localizada, generalizada o con un patrón específico que afecta molares e incisivos.
Grados (A, B y C):
- Grado A: progresión lenta.
- Grado B: progresión moderada.
- Grado C: progresión rápida.
Estos grados también consideran factores modificadores como el tabaquismo y la diabetes, que influyen directamente en la evolución de la enfermedad.
Más allá de la boca: su impacto sistémico
La periodontitis no solo afecta la salud oral. Diversos estudios han establecido su relación con enfermedades sistémicas, lo que la convierte en un posible factor de riesgo para otras condiciones. Estas asociaciones se explican por la diseminación de bacterias y mediadores inflamatorios desde el periodonto hacia el resto del organismo.

Diagnóstico y diferenciación
El diagnóstico se basa principalmente en la evaluación clínica, ya que actualmente no existen pruebas de laboratorio específicas para su detección. No obstante, la investigación avanza hacia métodos moleculares salivales no invasivos.
Es fundamental diferenciar la periodontitis de otras condiciones como:
- Gingivitis.
- Manifestaciones periodontales de enfermedades sistémicas.
- Lesiones traumáticas, fracturas radiculares o patologías endodónticas.
- Enfermedades neoplásicas que puedan comprometer los tejidos de soporte dental.

Enfoque terapéutico: control y rehabilitación
El tratamiento de la periodontitis debe ser integral y personalizado, enfocado en eliminar la causa, detener la progresión de la enfermedad y, cuando sea posible, recuperar los tejidos afectados.
Las principales estrategias incluyen:
- Control de la biopelícula dental: mediante una adecuada higiene oral.
- Modificación de factores de riesgo: abandono del tabaco y control de la diabetes.
- Terapia periodontal no quirúrgica: raspado y alisado radicular para eliminar placa y cálculo.
- Uso de antibióticos sistémicos: en casos graves o de rápida progresión.
- Tratamiento quirúrgico: para eliminar bolsas profundas o regenerar tejidos.
- Mantenimiento a largo plazo: clave para prevenir recaídas.
Conclusión
La periodontitis inducida por la biopelícula dental representa una patología de alta prevalencia que requiere un enfoque integral para su diagnóstico y tratamiento. La comprensión de su etiología, progresión y manifestaciones clínicas permite establecer estrategias terapéuticas más efectivas, orientadas no solo a detener la enfermedad, sino también a preservar la función y la salud bucal del paciente a largo plazo. Este análisis se fundamenta en el capítulo 4, Periodontitis inducida por la biopelícula dental, del libro Atlas a color de enfermedades periodontales locales y sistémicas, de George Laskaris, Dimitris Tatakis y Eleana Stoufi.
Consulta más artículos de Odontología dando clic aquí.
