432Views 0Comments
Este artículo se basa en el capítulo Exodoncia quirúrgica de los terceros molares mandibulares y maxilares, del libro Exodoncia avanzada. Técnicas y enfoques clínicos modernos, de Seong Gon Kim publicado por Editorial Amolca. En este capítulo se aborda la exodoncia de terceros molares desde una perspectiva clínica y quirúrgica integral, destacando los criterios para la indicación del procedimiento, la importancia de la evaluación preoperatoria, las consideraciones anatómicas clave y las técnicas quirúrgicas que permiten optimizar los resultados y reducir el riesgo de complicaciones.
La extracción de las llamadas “muelas del juicio” es uno de los procedimientos más habituales en la práctica odontológica. Sin embargo, detrás de lo que muchos consideran una intervención rutinaria, existe una planificación cuidadosa, un análisis detallado del paciente y una ejecución quirúrgica que requiere precisión y conocimiento profundo.
Los terceros molares son los últimos dientes en erupcionar, generalmente al final de la adolescencia o en los primeros años de la adultez. Su ubicación, al fondo de las arcadas dentales, los convierte en piezas particularmente propensas a complicaciones.
En muchos casos, no logran erupcionar completamente o lo hacen en posiciones inadecuadas, lo que se conoce como impactación. Esta condición puede desencadenar infecciones, dolor, inflamación e incluso afectar a los dientes vecinos. Además, su difícil acceso complica la higiene, favoreciendo la acumulación de bacterias.
Por estas razones, su extracción no solo responde a una necesidad inmediata, sino también a un enfoque preventivo para evitar problemas futuros.

¿Cuándo es necesaria una exodoncia quirúrgica?
No todas las extracciones son iguales. Cuando el diente está completamente visible en la boca, el procedimiento suele ser más sencillo. Pero cuando está parcial o totalmente cubierto por encía o hueso, se requiere una exodoncia quirúrgica.
Entre las principales indicaciones se encuentran:
- Dientes impactados
- Infecciones recurrentes como la pericoronitis
- Presencia de quistes o lesiones asociadas
- Riesgo de daño a dientes adyacentes
- Necesidades ortodóncicas
En algunos casos, incluso sin síntomas, se puede recomendar la extracción preventiva, especialmente cuando mantener una higiene adecuada resulta complicado.

Antes de cualquier intervención, el análisis del paciente es clave. No se trata solo de observar el diente, sino de comprender el contexto completo en el que se realizará la cirugía.
Estudios de imagen: ver lo que no es visible
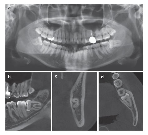
Las radiografías panorámicas suelen ser el primer paso para evaluar la posición de los terceros molares y su relación con estructuras cercanas. Sin embargo, en casos más complejos, la tomografía computarizada de haz cónico (CBCT) ofrece una visión tridimensional que resulta fundamental para una planificación más precisa.
Gracias a estas herramientas, es posible identificar la cercanía a estructuras sensibles como el nervio alveolar inferior o el seno maxilar, lo que reduce significativamente el riesgo de complicaciones.

Anatomía y planificación: la clave del éxito quirúrgico
Cada paciente es único, y la anatomía de los terceros molares puede variar considerablemente. Las raíces pueden ser múltiples, curvas o estar en estrecha relación con nervios importantes.
En el maxilar superior, por ejemplo, la proximidad al seno maxilar representa un desafío importante, mientras que en la mandíbula, la cercanía al nervio alveolar inferior exige extrema precaución.
Una planificación adecuada permite seleccionar la técnica quirúrgica más apropiada, desde el diseño del colgajo hasta la necesidad de remover hueso para facilitar la extracción.
Retos quirúrgicos: cuando la complejidad aumenta
La extracción de terceros molares no siempre es un procedimiento sencillo. Existen situaciones que requieren habilidades avanzadas y გამოცდილ experiencia clínica.
Algunos de los desafíos más comunes incluyen:
- Acceso limitado por la ubicación posterior del diente
- Anatomía radicular compleja
- Riesgo de afectar estructuras vecinas
- Impactaciones profundas o en posiciones anguladas
En estos casos, la elección del abordaje quirúrgico, el uso de instrumental adecuado y una técnica cuidadosa son determinantes para lograr un resultado exitoso.

El postoperatorio: una fase tan importante como la cirugía
Una vez finalizada la intervención, comienza una etapa crucial: la recuperación. Un adecuado manejo posoperatorio no solo mejora la comodidad del paciente, sino que también previene complicaciones.
Entre las recomendaciones más habituales se encuentran:
- Uso de analgésicos para controlar el dolor
- Aplicación de frío local para reducir la inflamación
- Mantener una higiene bucal cuidadosa, evitando manipular la zona
- Seguir una dieta blanda en los primeros días
- Evitar esfuerzos físicos intensos
Además, es fundamental que el paciente esté atento a signos de alerta como dolor persistente, sangrado excesivo o fiebre, y que acuda a los controles programados para asegurar una correcta cicatrización.

Conclusión
La exodoncia quirúrgica de los terceros molares es un procedimiento que integra conocimiento anatómico, criterio clínico y precisión técnica. La adecuada evaluación preoperatoria, junto con la comprensión de las variaciones anatómicas y la correcta selección del abordaje quirúrgico, permite optimizar los resultados y reducir el riesgo de complicaciones. Este enfoque, desarrollado en el capítulo Exodoncia quirúrgica de los terceros molares mandibulares y maxilares del libro Exodoncia avanzada. Técnicas y enfoques clínicos modernos de Seong Gon Kim, posiciona esta intervención como un pilar fundamental dentro de la práctica odontológica moderna.
Consulta más artículos de Odontología dando clic aquí.
