391Views 0Comments
Este artículo se basa en el capítulo “Cementación adhesiva para coronas cerámicas y postes prefabricados” del libro Restauraciones cerámicas. De la planificación clínica a la excelencia estética, del autor Luiz Ramos Junior, publicado por la Editorial Amolca. En este capítulo se aborda la cementación adhesiva como un procedimiento clave en la odontología restauradora moderna, destacando la evolución de los materiales cementantes, las propiedades de los cementos resinosos y los autoadhesivos.
La cementación en odontología restauradora tiene como objetivo unir dos elementos mediante un agente cementante, siendo este el punto más débil de la unión. Por ello, propiedades como la resistencia cohesiva, la baja solubilidad, la estabilidad dimensional y un espesor de película adecuado son claves para garantizar la longevidad de la restauración.

A lo largo del tiempo, se han utilizado distintos tipos de cementos, como el fosfato de zinc, los ionómeros de vidrio y sus versiones modificadas. Sin embargo, la evolución de los materiales ha llevado a que los cementos resinosos se conviertan en la opción preferida, especialmente en restauraciones cerámicas libres de metal, gracias a su mejor desempeño mecánico y estético.
Cementos resinosos y sistemas adhesivos
Los cementos resinosos comparten su composición con las resinas compuestas, combinando una matriz orgánica con relleno inorgánico. Sus principales ventajas incluyen una mayor adhesión al tejido dental, menor solubilidad y mejores propiedades mecánicas.
Según su activación, pueden ser químicos, fotoactivados o duales, siendo estos últimos los más utilizados por su capacidad de polimerizar incluso en zonas donde la luz no alcanza, como en restauraciones de mayor espesor.

El éxito clínico también depende del sistema adhesivo empleado. Los sistemas convencionales requieren grabado ácido previo, mientras que los autograbantes simplifican la técnica al integrar este paso. La elección adecuada del sistema es determinante para lograr una unión efectiva y duradera.
Cementos autoadhesivos y simplificación clínica
Los cementos resinosos autoadhesivos surgen como una alternativa que simplifica el procedimiento clínico al eliminar la necesidad de grabado ácido y aplicación de adhesivos por separado. Estos materiales permiten una técnica más rápida y menos sensible al error.
Aunque presentan buenas propiedades mecánicas y estabilidad, su mecanismo de adhesión es diferente al de los sistemas tradicionales, ya que no generan una capa híbrida definida. Por esta razón, su uso está indicado principalmente en la cementación de coronas metálicas y cerámicas, pero no en restauraciones con alto contenido de esmalte, como carillas.

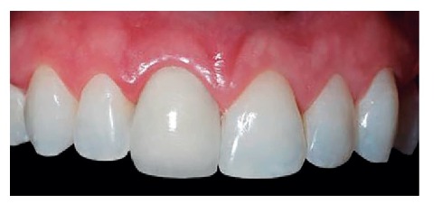
Protocolo clínico para restauraciones cerámicas
El éxito de la cementación no depende únicamente del material, sino de la correcta ejecución clínica. El primer paso consiste en una adecuada limpieza de la preparación dental, asegurando la eliminación total del cemento provisional.
Posteriormente, se debe verificar la adaptación de la prótesis, evaluando posibles interferencias internas o excesos proximales que puedan impedir un correcto asentamiento. También es fundamental revisar la estabilidad, la estética y la oclusión.
El tratamiento de la superficie interna de la prótesis varía según el tipo de cerámica. En cerámicas vítreas o feldespáticas, se realiza un grabado con ácido fluorhídrico, seguido de limpieza ultrasónica y aplicación de silano para mejorar la adhesión. En cambio, materiales como la zirconia requieren tratamientos alternativos, ya que no responden al grabado ácido.

En cuanto al sustrato dental, el aislamiento absoluto es el método ideal para evitar la contaminación. Además, técnicas como el sellado dentinario inmediato pueden mejorar el sellado marginal y reducir la sensibilidad postoperatoria.
Finalmente, el cemento se aplica en la prótesis, se posiciona con presión controlada, se eliminan los excesos y se realiza la fotoactivación. El ajuste oclusal y el pulido completan el procedimiento, seguido de un control clínico posterior.
Cementación de postes prefabricados
En dientes con tratamiento endodóntico y pérdida de estructura coronal, los postes intrarradiculares permiten mejorar la retención de la restauración. Los postes de fibra son especialmente utilizados por su mejor comportamiento biomecánico y estética.

El procedimiento incluye la preparación del conducto, su limpieza, la aplicación del sistema adhesivo y la cementación con resinas duales. Sin embargo, la polimerización puede verse limitada en zonas profundas, lo que requiere una técnica cuidadosa.
Los cementos autoadhesivos también representan una alternativa en estos casos, simplificando el procedimiento sin necesidad de acondicionamiento previo del conducto.

Conclusión
La cementación adhesiva en restauraciones cerámicas y postes prefabricados representa un procedimiento fundamental para el éxito clínico en odontología restauradora. La comprensión de las propiedades de los distintos sistemas cementantes, así como de los protocolos de adhesión y manejo de superficies, permite optimizar la retención, la adaptación y la estabilidad de las restauraciones. Un enfoque clínico adecuado que encuentras en el libro Restauraciones cerámicas. De la planificación clínica a la excelencia estética, del autor Luiz Ramos Junior, publicado por la Editorial Amolca.
