264Views 0Comments
Este artículo se basa en el capítulo “Citología por aspiración con aguja fina de lesiones profundas” del libro Citología por aspiración con aguja fina. Interpretación para diagnósticos acertados, del autor Pranab Dey, publicado por la Editorial Amolca. En este capítulo se aborda la FNAC guiada por imagen como una herramienta fundamental en el diagnóstico de lesiones profundas.
La citología por aspiración con aguja fina (FNAC, por sus siglas en inglés) se ha consolidado como una técnica fundamental en el diagnóstico de lesiones profundas. Su principal ventaja radica en que permite evitar procedimientos más invasivos, como la biopsia abierta o la cirugía laparoscópica, reduciendo riesgos para el paciente y optimizando los tiempos de diagnóstico.

Gracias al apoyo de técnicas de imagen, es posible localizar con precisión lesiones pequeñas o no palpables, facilitando la toma de muestras representativas en un solo procedimiento. Además, el material aspirado puede evaluarse de manera inmediata, lo que permite repetir la toma si es necesario y planificar estudios complementarios en tiempo real.
Ventajas de la FNAC guiada por imagen
El uso de guía radiológica ha transformado la práctica de la FNAC, aportando beneficios significativos:
- Permite muestrear zonas específicas y representativas del tejido
- Reduce el riesgo de dañar estructuras vitales
- Evita áreas necróticas o quísticas
- Facilita el acceso a lesiones pequeñas y profundas
- Posibilita el estudio de lesiones no palpables
Estas ventajas hacen de la FNAC una herramienta clave tanto en el diagnóstico inicial como en el seguimiento de enfermedades.

Aplicaciones clínicas y utilidad diagnóstica
La FNAC guiada por imagen se utiliza principalmente para determinar si una lesión es benigna o maligna, así como para la subtipificación tumoral. En pacientes con diagnóstico oncológico previo, esta técnica permite evaluar la extensión de la enfermedad y contribuir a su estadificación.
Asimismo, en casos de sospecha infecciosa, el material obtenido puede emplearse para estudios microbiológicos o micológicos, ampliando su valor diagnóstico.
Preparación y consideraciones previas al procedimiento
Antes de realizar una FNAC guiada, es fundamental contar con:
- Historia clínica detallada
- Diagnóstico presuntivo
- Estudios de coagulación (especialmente índice de protrombina)
- Imágenes previas (ecografía o tomografía computarizada)
Estos elementos permiten planificar la ruta de la aguja y minimizar riesgos, especialmente en lesiones cercanas a estructuras críticas como grandes vasos o el corazón.
Principales técnicas de guía por imagen
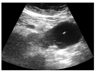
Ecografía (USG): accesibilidad y rapidez
La ecografía es la técnica más utilizada por su disponibilidad, bajo costo y capacidad de visualización en tiempo real. Además, no implica exposición a radiación, lo que la convierte en una opción segura y eficiente.

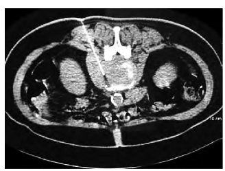
Tomografía computarizada (TC): precisión en zonas complejas
La TC permite obtener imágenes detalladas en múltiples planos, facilitando el acceso a lesiones profundas o cercanas a estructuras vitales. Es especialmente útil en pulmón, abdomen y lesiones óseas.
Ecografía endoscópica (EUS-FNAC): alta precisión diagnóstica
La EUS-FNAC es ampliamente utilizada en lesiones pancreáticas, mediastínicas y del tracto gastrointestinal. Presenta altos niveles de sensibilidad y especificidad, además de permitir procedimientos terapéuticos como drenaje de quistes.

Fluoroscopia y resonancia magnética (IRM)
Aunque menos utilizadas, estas técnicas tienen aplicaciones específicas. La fluoroscopia se emplea principalmente en lesiones óseas, mientras que la IRM se reserva para casos seleccionados donde otras modalidades no logran identificar la lesión.
Evaluación de la muestra y técnicas complementarias
La evaluación inmediata del material aspirado (ROSE) permite verificar su calidad y evitar muestras no representativas. Posteriormente, pueden aplicarse diversas técnicas auxiliares como:
- Inmunocitoquímica
- Citometría de flujo
- Estudios moleculares
Estas herramientas son fundamentales para un diagnóstico más preciso y la correcta clasificación de enfermedades, especialmente en oncología.

Conclusión
La FNAC guiada por imagen se posiciona como una herramienta esencial en el diagnóstico moderno, gracias a su precisión, seguridad y carácter mínimamente invasivo. Su aplicación, junto con el uso de técnicas complementarias y el trabajo multidisciplinario, permite optimizar la toma de decisiones clínicas y mejorar los resultados en los pacientes. Estos conceptos se desarrollan en el capítulo “Citología por aspiración con aguja fina de lesiones profundas” del libro Citología por aspiración con aguja fina. Interpretación para diagnósticos acertados, del autor Pranab Dey, publicado por la Editorial Amolca.
